Minimally Invasive Gum Recession Repair
Restore Your Gum Health —
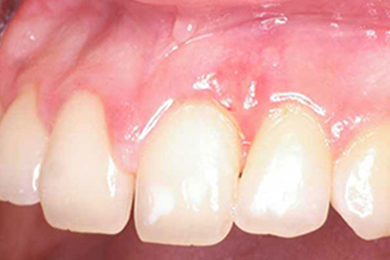
No Grafts, No Scalpels, No Sutures

Your Dental Implant Transformation Starts Here!

The Benefits of Pinhole® Surgical Technique

If you’re struggling with gum disease, you’re not alone! Let us help…..


pinhole
Pinhole® Surgical Technique (PST) is a modern alternative to traditional gum grafting for treating receding gums. Instead of harvesting tissue or placing sutures, your periodontist makes a small entry point and gently repositions your existing gum tissue to cover exposed roots — resulting in a quicker recovery and natural-looking results.

Benefits Patients Love

Risk-Free Consultation
Are You A Candidate?

Traditional Surgery Vs. Laser Gum Surgery

Pinhole Surgical Technique (PST)

  • No donor tissue needed
  • Small pinhole only
  • Faster healing and less discomfort
  • Often complete in one session
  • Reduced sensitivity after treatment

Traditional Gum Grafting

  • Requires grafting tissue from the palate
  • Incisions and sutures required
  • Longer recovery time
  • May require multiple visits
  • Higher chance of post-op sensitivity

Signs You Might Benefit from PST

How Do I Start?

In one quick, easy, risk-free consultation you will learn:

To Speak With one of our periodontal experts call now!

You Deserve the Best

When it comes to advanced care in periodontics and laser dentistry, you deserve the highest standard of treatment. At PerioWest, we provide a comprehensive approach that combines expert diagnosis, minimally invasive techniques, and personalized care—all in one convenient location.

Using state-of-the-art laser technology and years of specialized experience, our team delivers exceptional periodontal care, promoting healthier gums and lasting results. Dr. Andrés Sánchez and their dedicated team are trusted to manage even the most challenging cases, ensuring precision and excellence every step of the way.

perio coordinator

Empower Your Smile!

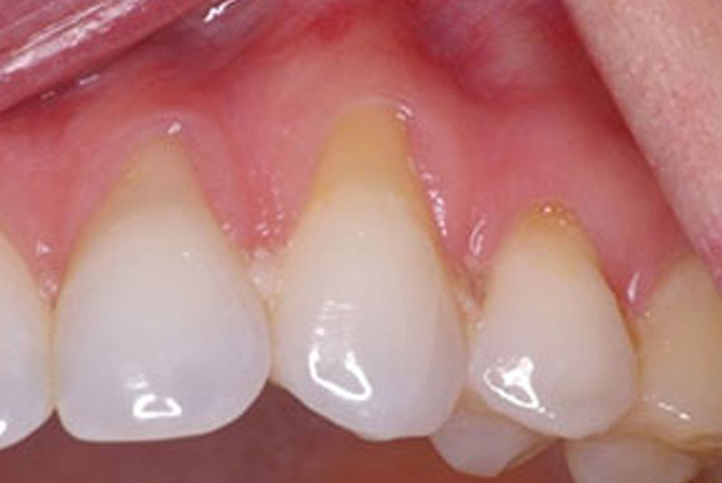
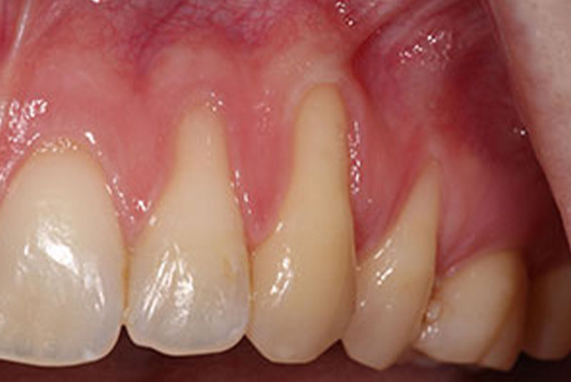
Before After
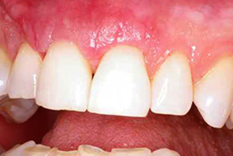
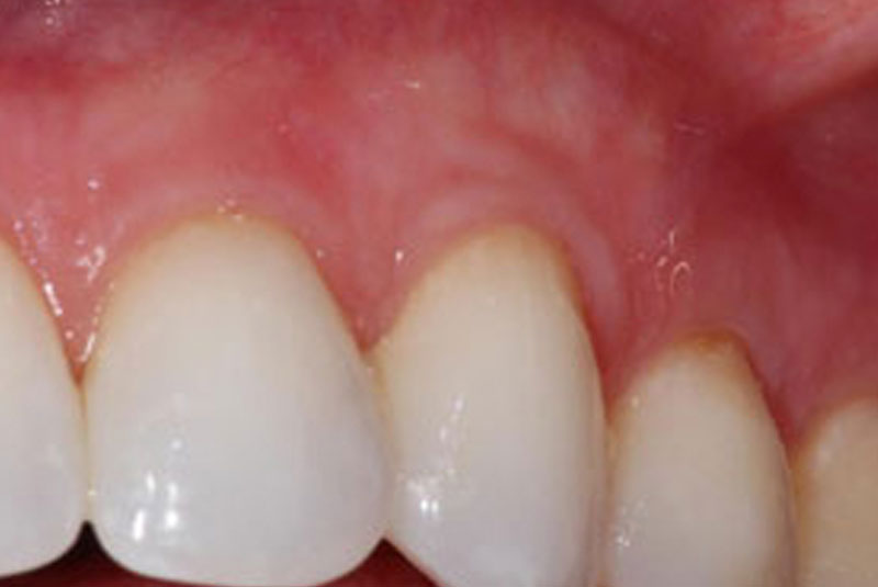
Before After
Before After
Before After

Superior Treatments ... Better Results ... at the Best Price!

Superior Treatments ...
Better Results ...
at the Best Price!

1 +
Years Of Experience

Meet Dr. Andrés Sánchez

Dr. Sánchez hails from Santa Fe, Argentina, where he was both born and raised. His journey into the dental field commenced at Rosario National University in Argentina, where he attained his dental degree in 1995. In the subsequent year, 1996, he further honed his expertise through a one-year fellowship in general dentistry. His practice thereafter revolved around general dentistry with a keen focus on periodontics and implant dentistry for a span of five years.

In 2004, a significant milestone was reached as he earned his Certificate & Master’s Degree in Periodontics from the renowned Mayo Clinic in Minnesota. As the years progressed from 2005 to 2008, Dr. Sánchez served as a dedicated Assistant Professor at Marquette University School of Dentistry.

Our Patients tell the story best

Our Patients tell
the story best

Phone Number

Office Location

7810 Terrey Pine Court
Eden Prairie, MN 55347

Office Hours

Monday: 8AM – 5PM
Tuesday: 7AM – 4PM
Wednesday: 8AM – 5PM
Thursday: 7AM – 4PM
Friday: 7AM – 12PM
Saturday & Sunday: Closed

Get information on Periodontal Treatment

Answer The Following Questions To Learn More.